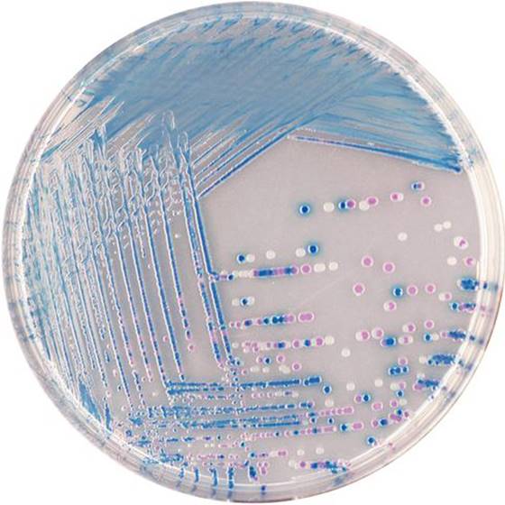
Über das Produkt

Chromogenes Medium zur selektiven Isolierung und Differenzierung von E. coli O157 in Lebensmittelproben.

Ähnliche Produkte

CHROMagar Enterobacteria Fertigplatten (ohne CE)

Mehr Informationen

CHROMagar E.coli Fertigplatten (ohne CE)

Mehr Informationen

CHROMagar STEC Fertigplatten

Mehr Informationen

Alle Kategorien